Disclaimer
To our valued patients, please beware of false online offers promising free treatments at Harmony Medical Center.
Book your appointment
Submitting your request
Disclaimer
To our valued patients, please beware of false online offers promising free treatments at Harmony Medical Center.
Send an enquiry
EnglishEnglish
EnglishEnglish
العربيةالعربية
Best Oral and Maxillofacial Surgeons in Dubai

Oral & Maxillofacial Surgery in Dubai and Abu Dhabi

Expert surgical artistry with precision.

At Harmony Medical Center, we pride ourselves for our steadfast commitment to excellence, and our specialized Oral & Maxillofacial Surgery services are no exception. From complex oral rehabilitation procedures to the intricate diagnosis and treatment of conditions affecting the mouth, jaws, face, and neck, we are dedicated to delivering the highest standard of care. Our experienced oral and maxillofacial surgeons in dubai and abu dhabi treat problems ranging from the removal of teeth to the correction of facial trauma. 

Benefits of choosing Oral & Maxillofacial Surgery

at Harmony Medical Center

Best Oral Maxillofacial Treatment Dubai

Types of Oral & Maxillofacial Surgery Treatments

Harmony Medical Group is synonymous with quality and trust, and we are dedicated to ensuring that your surgical experience meets the highest standards of care and service.

Dental Implants

Our Oral & Maxillofacial Surgeons excel in the art of dental implantology, offering a sophisticated solution for tooth replacement that restores both function and aesthetics with precision.

Dental Extractions

All types of extractions, including the removal of wisdom teeth and impacted teeth, are carried out with precision, care, and minimal discomfort for our patients, promoting a smooth healing process.

Dentoalveolar Surgeries

Our surgeons are skilled in a wide range of dentoalveolar procedures, addressing issues involving the teeth and their supporting structures with expertise and a focus on your oral health.

Management of TMJ

When it comes to the complex temporomandibular joint (TMJ) and associated conditions, our specialists are here to diagnose, treat, and manage these issues to enhance your comfort and well-being.

Aesthetic Dental Surgeries

Harmony offers a range of aesthetic dental surgeries, enhancing the appearance and functionality of your smile with the utmost precision and a commitment to beautiful outcomes.

Full Mouth Rehabilitation

Full mouth rehabilitation focuses on optimizing oral function and aesthetics, ensuring that you regain the ability to eat, speak, and smile with comfort and confidence. It's a tailored approach to revitalizing your oral health and overall quality of life.

What common conditions are treated by Oral and Maxillofacial Surgeons?

  • Facial palsy
  • Facial pain
  • Facial deformities
  • Jaw joint (TMJ) disorders
  • Salivary gland diseases and stones
  • Dental implants
  • Face, jaw, teeth, and mouth trauma
  • Head, neck, and oral cancers
  • Neck lumps
  • Cleft lip and palate
  • Facial skin cancers
  • Snoring and sleep disorders
common conditions are treated by Oral and Maxillofacial Surgeons

Oral and Maxillofacial Surgery

by Our Smile Makers

full mouth rehabilitation
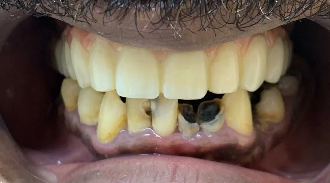
Before
full mouth rehabilitation near me
Full Mouth Rehabilitation by Dr. Ahmad Al Jazairi
full mouth rehabilitation abu dhabi
Before
full mouth rehabilitation abu dhabi
Full Mouth Rehabilitation by Dr. Ahmad Al Jazairi
full mouth rehabilitation abu dhabi
Before
dental implants dubai
Treatment includes full mouth extraction and same-day teeth replacement by dental implants and restoration with a full arch of screw-retained zirconia.
Implants by Dr. Ahmad Al Jazairi
full mouth rehabilitation abu dhabi
Before
full mouth rehabilitation dubai
Full Mouth Rehabilitation by Dr. Ahmad Al Jazairi

Our Oral & Maxillofacial Surgeons in Dubai & Abu Dhabi

FAQs: Oral and Maxillofacial surgery

Oral and maxillofacial surgery (OMFS) is a medical specialty focusing on the diagnosis and surgical treatment of conditions affecting the mouth, teeth, jaws, face, and neck.

You should consider seeing an oral and maxillofacial surgeon if you have:

  • Impacted or problematic wisdom teeth
  • Facial trauma or fractures
  • Jaw misalignment causing bite or speech issues
  • Oral cysts or tumors
  • Need for dental implants or reconstructive surgery

Our Oral and maxillofacial surgeons perform:

  • Dental implants
  • Tooth extractions (including wisdom teeth)
  • Dentoalveolar surgeries
  • TMJ management
  • Aesthetic Dental Surgeries
  • Full mouth rehabilitation

Most procedures are performed under anesthesia or sedation, with minimal discomfort afterward. Pain is controlled with medications.

Costs vary by procedure and complexity. Contact our maxillofacial clinics for accurate pricing and personalized treatment plans.

They diagnose and treat problems of the teeth, jaws, face, and neck, including trauma, deformities, TMJ disorders, and reconstructive or aesthetic surgeries.

Oral surgery focuses on teeth and gums, while maxillofacial surgery also treats the jaws, face, neck, and complex reconstructive cases.

Improved oral function, facial symmetry, bite correction, pain relief, and enhanced aesthetics.

Recovery depends on the procedure: simple extractions may heal in days, while complex reconstructive surgery may take weeks to months. Your surgeon provides a personalized plan.
 

You can book online through our website or contact us directly: