Disclaimer
To our valued patients, please beware of false online offers promising free treatments at Harmony Medical Center.
Book your appointment
Submitting your request
Disclaimer
To our valued patients, please beware of false online offers promising free treatments at Harmony Medical Center.
Send an enquiry
EnglishEnglish
EnglishEnglish
العربيةالعربية
A closeup of a patient at Harmony Medical Center wearing braces

Metal and Ceramic Braces in Dubai & Abu Dhabi

Braces: Your path to a perfect smile.

Metal braces are a common choice for orthodontic treatment for both children and adults. They deliver a gentle yet consistent force to move your teeth into their ideal positions. Braces effectively correct various orthodontic issues, including crooked and crowded teeth, misaligned bites, and jaw problems.

Ceramic or clear braces function similarly to metal braces but are less noticeable due to their clear or tooth-colored brackets, making them a popular choice for both teenagers and adults.

Orthodontics Offer

Get 35% off braces and enjoy a straight, beautiful smile.

AED 400 per month only
AED 12,000 with flexible payment plan
(Regular value AED 18,500)

A closeup of a female patient at Harmony Medical Center wearing modern braces.

Benefits of treatment with braces

Smile Transformation with Dental Braces

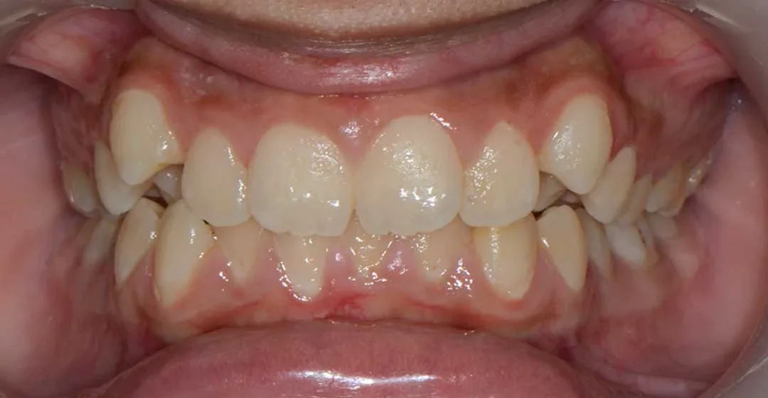
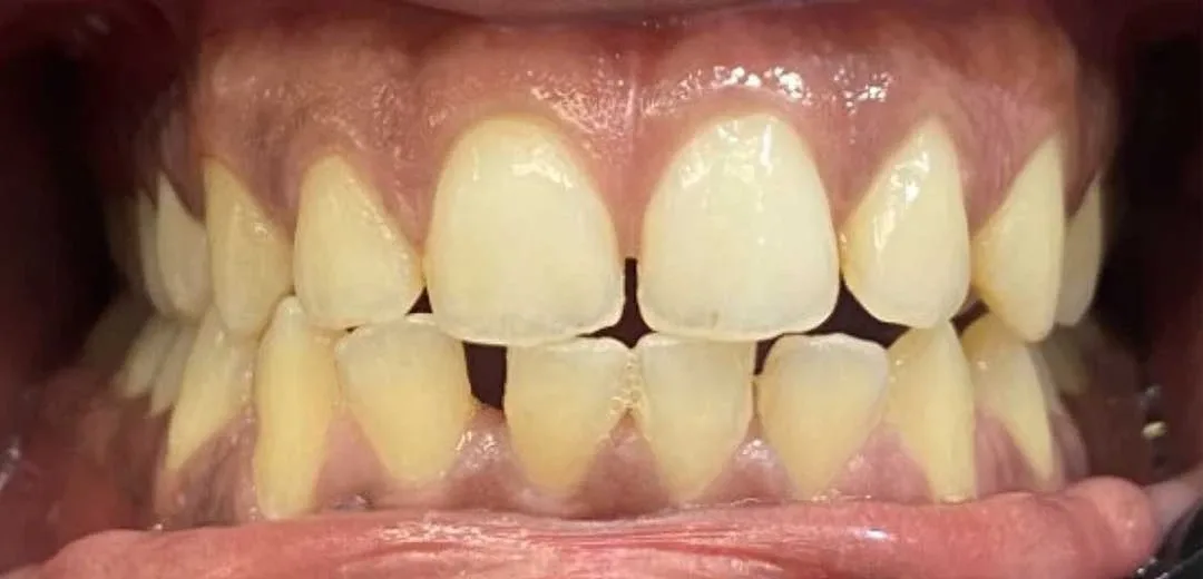
Close-up photo of a patient’s mouth before starting treatment with dental braces at Harmony Medical Center.
Before
Final phase dental treatment with braces
Braces by Dr. Mohammad Baderaddeen
A closeup of the mouth showing a patient with dental braces
Before
after dental braces
Braces by Dr. Mohammad Baderaddeen
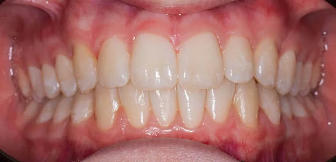
before treatment with braces
Before
After treatment with braces
Braces by Dr. Mohammad Baderaddeen
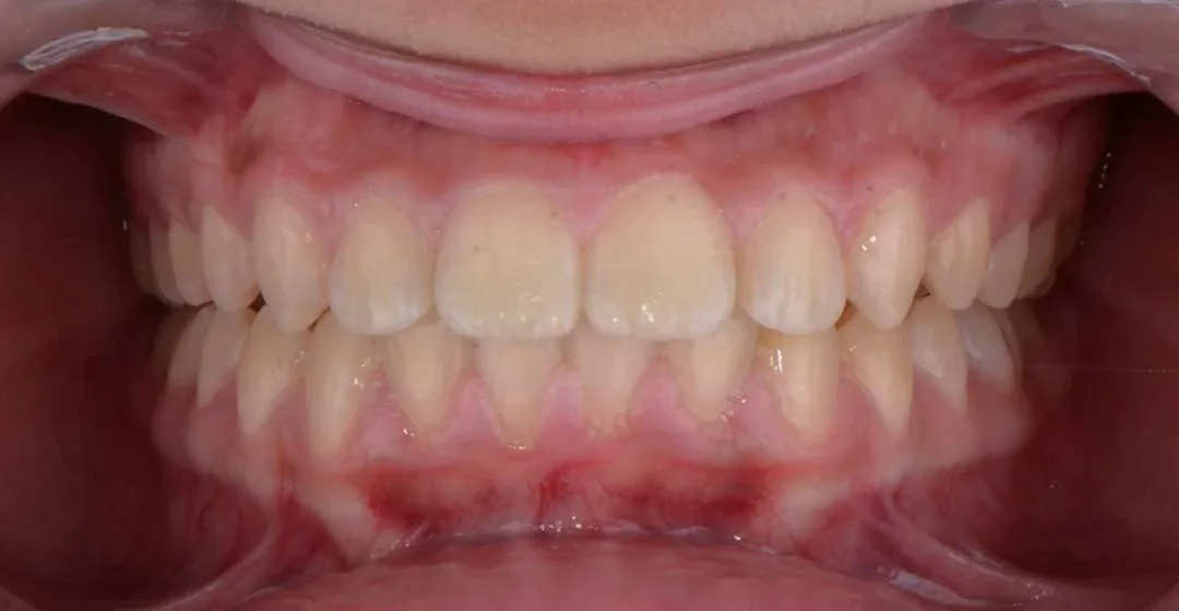
before treatment with braces
Before
After treatment with braces
Braces by Dr. Kharam Karsa
before treatment with braces
Before
After treatment with braces
Braces by Dr. Najwana Attisha
before treatment with braces
Before
After treatment with braces
Braces by Dr. Najwana Attisha
before treatment with braces
Before
After treatment with braces
Braces by Dr. Najwana Attisha

Keep your teeth healthy
during your orthodontic treatment.

Maintaining your oral health during orthodontic treatment is essential. Here's how you can keep your teeth healthy while wearing your braces.

Regular Dental Check-ups

Continue to see your general dentist for regular check-ups. Your dentist will monitor your oral health, address any issues, and ensure that your teeth and gums remain healthy throughout your treatment.

Professional Cleanings

Professional cleanings while wearing braces are crucial. These cleanings remove plaque and tartar buildup in areas that may be hard to reach with braces, preventing cavities and gum problems.

Effective Oral Care Routine

Brush your teeth using a soft toothbrush and fluoride toothpaste. Flossing and using interdental brushes will help remove food particles trapped in the wires and brackets of your braces.

Keep your Orthodontist's Recommendations

Follow the instructions provided by your orthodontist. They may recommend certain tools or techniques to help you get the best out of your treatment.

Our Specialist Orthodontists in Dubai & Abu Dhabi

Metal & Ceramic Braces FAQs

Our Specialist Orthodontists in Dubai and Abu Dhabi offer a wide range of orthodontic braces, including traditional metal braces, clear ceramic braces, and lingual braces (attached to the back of teeth).

Treatment time depends on the severity of your case. Simple misalignments might take 12-18 months, while complex cases can take up to 3 years.

There might be some initial discomfort when braces are first placed or adjusted, but most patients tolerate it well.

No, there is no age limit for braces. Braces can be effective for both teenagers and adults, as long as they have healthy teeth and gums. Orthodontic treatment can correct misalignments and improve dental health at any age.

Typically, the cost of braces varies depending on the type of braces chosen, the complexity of the treatment, the materials used at the clinic, and the experience of the orthodontist. Visit one of our Specialist Orthodontists to explore your options and receive a cost estimate.

Yes, we do. We offer flexible installment payments through Tabby and Tamara, allowing you to split your payment into 4 equal monthly installments. Please call us at 04 395 5113 (Dubai) and 800 333 444 (Abu Dhabi) for more information.