Disclaimer
To our valued patients, please beware of false online offers promising free treatments at Harmony Medical Center.
Book your appointment
Submitting your request
Disclaimer
To our valued patients, please beware of false online offers promising free treatments at Harmony Medical Center.
Send an enquiry
EnglishEnglish
EnglishEnglish
العربيةالعربية

Start Your Journey to a Confident, Straighter Smile with Dr. Paolo Bellini

Now available at Harmony Medical Center – Dubai & Abu Dhabi

There’s never been a better time to invest in your smile. Whether it’s for yourself or a loved one, take the first step toward a straighter, more confident smile with a complimentary orthodontic consultation from Dr. Paolo Bellini – our renowned Specialist Orthodontist from Italy.

With over 16 years of experience, Dr. Paolo is a highly skilled Italian orthodontist known for delivering exceptional results. He offers a full range of orthodontic solutions including metal braces, lingual braces, and clear aligners like Invisalign. His expertise also covers interceptive orthodontics for children, pre-veneers and pre-implants orthodontic planning, and even complex orthopedic surgical cases for adults.

Whether you're looking for a subtle touch-up or a complete smile transformation, Dr. Paolo will help you find the treatment that fits your lifestyle and goals.

Book your free consultation today and take the first step toward the smile you’ve always wanted.

Book Your Appointment

Invisalign for Adults & Teens

Starting from AED 5,000

Offer details:

35% Off Metal Braces

AED 12,000 with flexible payment plan
(Regular value AED 18,500)

Offer details:

Dr. Paolo Bellini is a highly qualified Italian Super Dentist & Specialist Orthodontist with 16 years of experience in the field of dentistry.

His Scope of Expertise

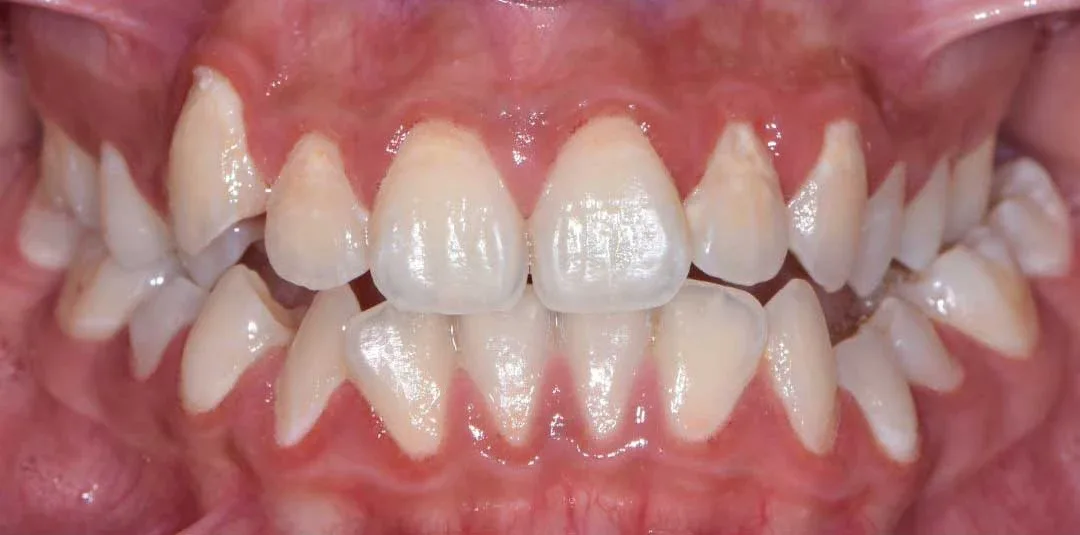
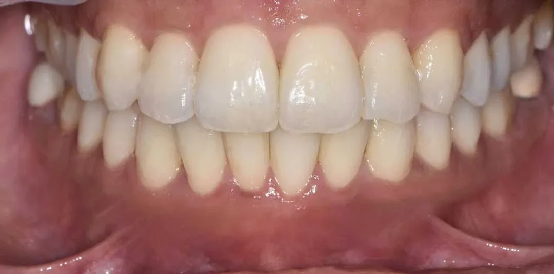
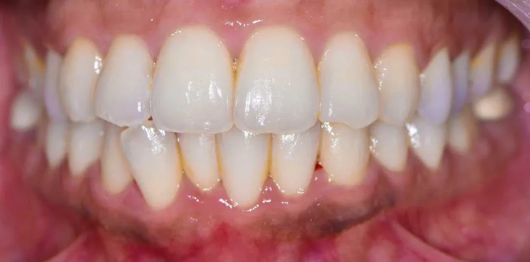
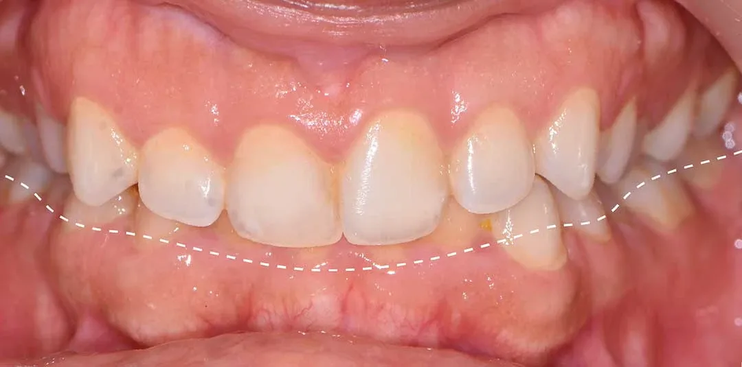
Beautiful Smiles

by Dr. Paolo Bellini

  • "I came to put braces with Dr. Paolo and to be honest, it was the best experience I had with a doctor he was professional and knew what he was doing."
    Zayed Fahad
    Google Review
  • "Amazing facility and well trained staff to support all client requests. Highly recommended orthodontist - Dr. Paolo Bellini."
    Riccardo Bisutti
    Google Review
  • "• I had the pleasure of taking my son to Harmony after an injury to his tooth. I met with Dr. Paolo who was the kindest most professional dentist I have came across to date. He was extremely patient explaining everything and outstanding with children. I could not recommend him more highly for anyone who is looking for a dentist in Dubai."
    Rebecca Patterson
    Google Review

What Sets Us Apart

Harmony Medical Group is accreditated by the Joint Commission International (JCI). This underscores our relentless commitment to patient safety, the delivery of top-notch quality of care, meticulous infection control, risk management, and robust leadership and governance. This accreditation solidifies our unwavering dedication to providing exceptional dental care.

Frequently Asked Questions

  • Enhanced facial aesthetics and symmetry
  • Reduced wear and tear on teeth
  • Improved bite and speech
  • Improved jaw joint health
  • Reduced risk of tooth decay and gum disease
  • Reduced risk of dental emergencies

The great news is that healthy teeth can be moved at any age. At Harmony, we provide customized orthodontic treatments for children, teens, and adults. Also, the American Association of Orthodontists recommends that all children have a check-up with a Specialist Orthodontist no later than age 7. This gives your orthodontist the opportunity to recommend the appropriate treatment at the right time.

According to the American Association of Orthodontists, people who notice any of these signs should seek the help of an orthodontist:

  • Crowded, misplaced, protruding, or blocked-out teeth
  • Difficulty biting or chewing
  • Biting the cheek or roof of the mouth
  • Facial imbalance or asymmetry
  • Children who had early or late loss of baby teeth

Orthodontics addresses improper alignment, known as malocclusion, and the length of the treatment varies from one patient to another. Some treatments may take a few months, while others may extend to several years. On average, typical orthodontic treatment can take anywhere between 6 and 36 months.

To get the most out of your treatment, you will wear each set of aligners for 20 to 22 hours a day as directed by your orthodontist. Each set of aligners will gently and gradually move your teeth into place as outlined in your treatment plan.

Terms & Conditions

  • This offer is valid at Harmony Medical Center – Jumeirah 3, Dubai and Harmony Plus Medical Center, Abu Dhabi.
  • All appointments will be booked with Dr. Paolo Bellini.
  • For appointments, please call 04 395 5113 (Dubai) or 800 333 444 (Abu Dhabi).
  • This offer cannot be combined with other promotions.
  • This offer is valid until August 31, 2025.

Our Insurance Partners