Disclaimer
To our valued patients, please beware of false online offers promising free treatments at Harmony Medical Center.
Book your appointment
Submitting your request
Disclaimer
To our valued patients, please beware of false online offers promising free treatments at Harmony Medical Center.
Send an enquiry
EnglishEnglish
EnglishEnglish
العربيةالعربية
Dr. Najwana Attisha - Specialist Orthodontist at Harmony Medical Center in Dubai

Dr. Najwana Attisha

Dr. Najwana Attisha is an enthusiastic Specialist Orthodontist who has been practicing dentistry for nearly 25 years.

After graduating from Baghdad University, Iraq, in 2001, she pursued her Master's in Orthopedics & Dentofacial Orthopedics from the European University College with a Certificate of Specialization in Orthodontics from Malmö University in Sweden.

Dr. Najwana treats both children and adults. Her expertise includes treatments with ceramic and metal braces, Invisalign, surgical orthodontics for jaw correction, and interceptive orthodontics for growing children.

She stays current with the advancements in her field through international conferences and workshops, ensuring her patients benefit from the most up-to-date treatments. With her dedication and broad skill set, Dr. Najwana is a trusted orthodontic specialist who is committed to enhancing her patients’ smiles and oral health.

She speaks English and Arabic.

Dr. Najwana Attisha practices in:

New Year's
Orthodontics
Specials

20% off braces

Ring in the New Year with a radiant smile. Our exclusive New Year offer for braces brings you one step closer to the confident, beautiful smile you've always dreamed of. Hurry, unwrap the magic of our New Year orthodontic promotion now.

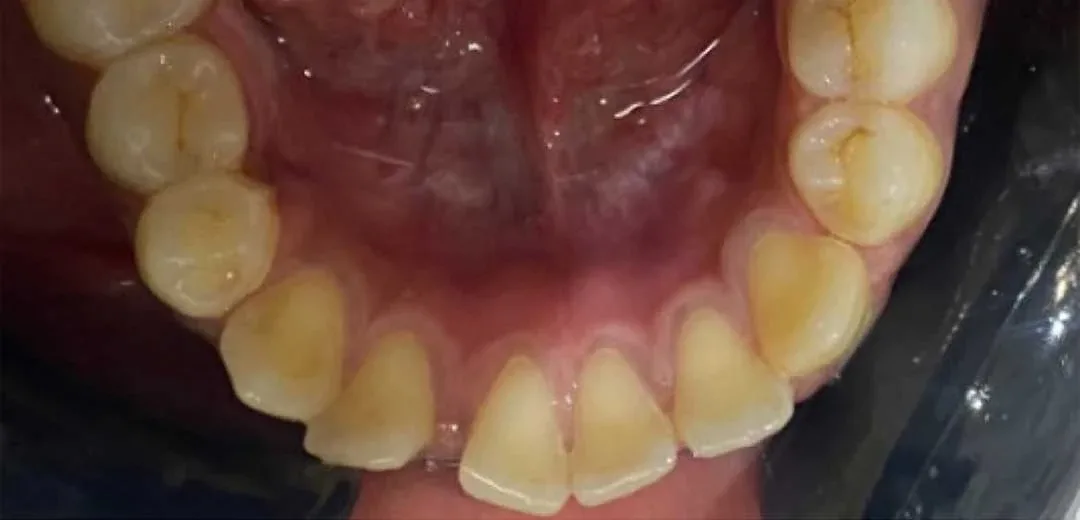
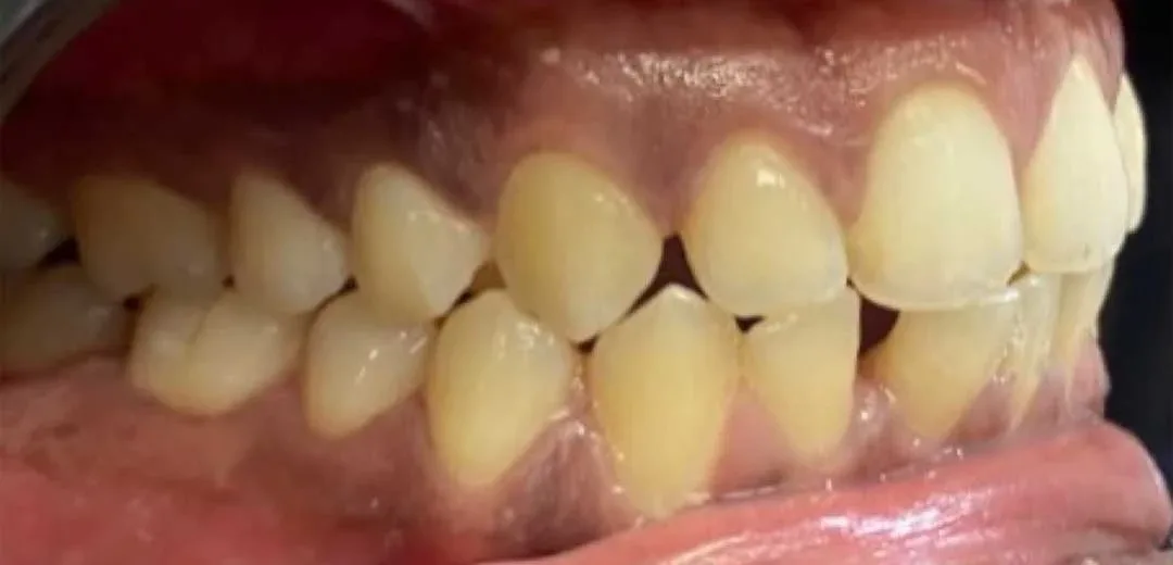
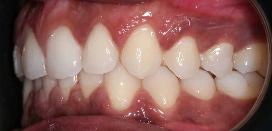
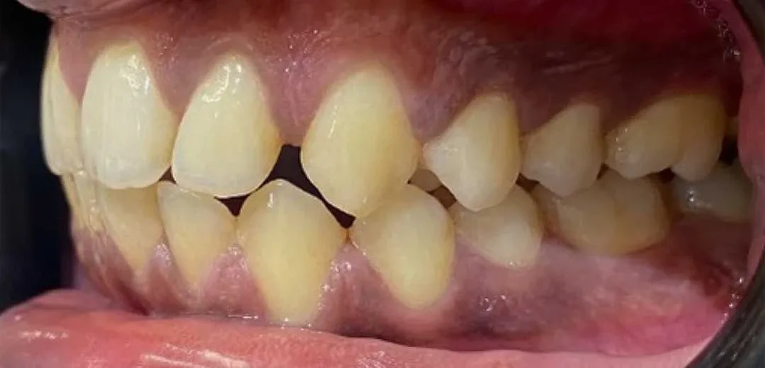
Orthodontic Cases

by Dr. Najwana Attisha

dr najwana attisha
braces in dubai
braces dubai
braces near me
braces - harmony
braces jumeirah
braces near me
harmony medical center dubai
orthodontics
orthodontics near me
orthodontist
orthodontist near me